Can a Surgical Implant Help Slow Vision Loss from Blinding Eye Disease?

Synopsis
Key Takeaways
- ENCELTO is a neuroprotective surgical implant designed to slow vision loss.
- It releases CNTF to protect retinal neurons.
- The device has shown significant results in clinical trials.
- It addresses a previously untreated condition, MacTel.
- The studies indicate a promising future for patients with degenerative retinal diseases.
New Delhi, Aug 11 (NationPress) A neuroprotective surgical implant may help in slowing vision loss due to a blinding eye disease, as indicated by a recent study.
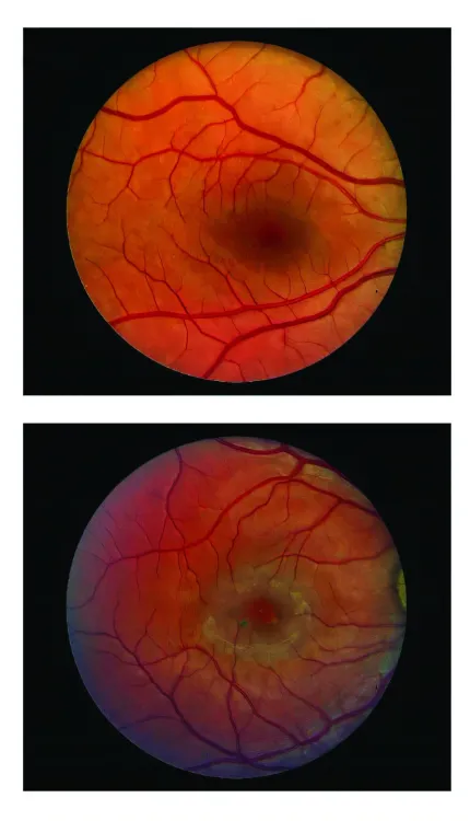
For individuals suffering from macular telangiectasia type 2 (MacTel), a rare retinal disorder that progressively deteriorates central vision, approved treatment options have been scarce.
The findings, released in NEJM Evidence, stem from two Phase III clinical trials assessing ENCELTO—a surgically implanted device that steadily releases a therapeutic protein aimed at safeguarding vision.
These randomized trials were conducted at 47 locations worldwide, involving 228 participants diagnosed with MacTel, and monitored their condition over a 24-month timeframe, yielding compelling evidence that the implant can aid in preserving vision among patients.
Professor Martin Friedlander of Scripps Research, US, remarked, “This represents a pivotal shift in our understanding of vision loss. Rather than merely waiting for cell death, we are discovering methods to protect and sustain them.”
“This is the first instance where we have observed a treatment significantly altering the trajectory of MacTel. It emphasizes that neuroprotection can be a formidable approach to maintaining vision in degenerative retinal conditions,” he continued.
The FDA-approved device administers ciliary neurotrophic factor (CNTF), a natural protein recognized for its protective effects on retinal neurons.
ENCELTO also incorporates genetically modified retinal pigment epithelial cells, which play a vital role in nourishing and supporting the retina, contained within a minuscule, collagen-based capsule that is implanted at the back of the eye.
This capsule design provides a protective shield against immune rejection while ensuring continuous release of CNTF, facilitating long-term, localized delivery of the therapeutic agent.
The study revealed that ENCELTO significantly decelerated the loss of photoreceptors—the light-sensitive neurons essential for central vision—compared to sham-treated eyes, which underwent a simulated procedure without actual treatment.
In one trial, the implant resulted in a 54.8% reduction in the rate of ellipsoid zone loss, a measurable change in retinal structure indicating photoreceptor cell degeneration. The second trial recorded a 30.6% reduction in the same metric, still statistically significant but with a smaller effect size.